Transformez votre sourire grâce aux aligneurs transparents Invisalign
En quoi consiste le traitement d’orthodontie Invisalign?
Avec ses gouttières transparentes et amovibles, le traitement Invisalign® réaligne vos dents subtilement. Utilisé pour traiter les malocclusions dentaires, ce traitement échappe au regard et vous offre un confort incomparable. Minces et faciles à nettoyer, elles permettent de redresser vos dents efficacement et rapidement.
Ce type de traitement demande toutefois un engagement de la part du client. Cette approche orthodontique demande une implication totale. Les coquilles doivent être portées 24 heures sur 24 et changées à tous les 10-15 jours.

Quels sont les avantages d’opter pour le traitement Invisalign plutôt qu’un traitement orthodontique traditionnel?
Traitement invisible
Le traitement d’orthodontie Invisalign® permet de redresser vos dents en toute subtilité à l’aide de coquilles transparentes, pratiquement imperceptibles.
Hygiène et alimentation simplifiées
Pouvant être retirées lors des repas, pour brosser les dents ou pour passer la soie dentaire, les coquilles amovibles Invisalign® se nettoient facilement et ne nuisent pas à la mastication.
Efficace et rapide
Le temps du traitement Invisalign® est en général écourté de moitié, par rapport au temps que prendrait un traitement d’orthodontie avec les broches traditionnelles.
Confort incomparable
Adaptées à la forme des dents et de la mâchoire, les gouttières Invisalign® sont flexibles et minces, faisant en sorte de vous offrir un confort irréprochable, comparativement aux broches traditionnelles, qui peuvent parfois être nuisibles.

Investissez sur vous
Au cours des dernières années, les traitements d’orthodontie ont beaucoup évolué. Efficaces et plus rapides, ils permettent maintenant de réaligner la mâchoire et de corriger les dents croches ou chevauchées et ce, sans désagrément majeur. Les nouvelles technologies ainsi que le matériel de pointe ont éliminé les tourments généralement associés aux broches métalliques. Cette évolution encourage de plus en plus d’adultes à s’investir dans ce type de traitement.
Saviez-vous qu’avec le temps, les dents désalignées ou en chevauchement peuvent vous occasionner une perte osseuse, de la douleur, des caries dentaires et de la parodontite ? L’orthodontie, c’est plus qu’une question d’esthétique dentaire : c’est une question de qualité de vie!

Dre Nathalie Vachon, DMD AAACD
Diplômée de la faculté de médecine dentaire de l’Université Laval et accréditée de l’American Academy of Cosmetic Dentistry (AACD), Dre Nathalie Vachon travaille depuis plus de 30 ans dans le domaine de l’esthétique dentaire.
Les fondements de sa pratique reposent essentiellement sur sa conception de la dentisterie moderne, plus précisément, sur le rôle fondamental des soins dentaires et de leurs impacts sur la santé globale.
Animée par sa passion des sciences dentaires, le Dre Vachon consacre plus de 300 heures par année en formations post-universitaires pour perfectionner son savoir-faire.

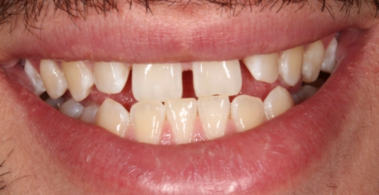
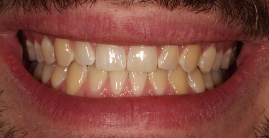
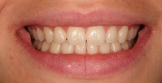
Visualisez quelques résultats de traitement d’orthodontie invisible Invisalign


Invisalign et chirurgie


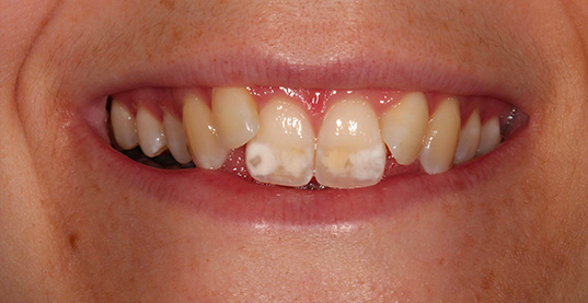
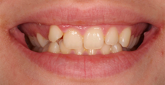
Invisalign 15 mois et microdentisterie


