Notre équipe se fera un devoir de vous informer tout au long du processus de restauration ou de préservation de votre dentition.
En effet, nos professionnels en dentisterie esthétique sont dévoués à vous accompagner tout au long du processus de restauration ou de préservation de votre dentition. Nous croyons que chaque patient est unique et mérite une attention personnalisée pour obtenir les meilleurs résultats. D’ailleurs, nous sommes convaincus que vous serez satisfait de notre approche transparente, informative et axée sur vos besoins individuels.
Examen complet de la cavité buccale
Nous effectuons un examen détaillé de votre bouche et de ses articulations temporo-mandibulaires afin de diagnostiquer les éventuelles anomalies qui peuvent affecter la santé dentaire ou la mastication.
Diagnostic bucco-dentaire
Nous établissons un diagnostic précis des problèmes bucco-dentaires afin de déterminer les traitements appropriés à mettre en place.
Recommandations de traitements
C’est une fois le diagnostic établi que nous vous recommandons les traitements nécessaires pour corriger les problèmes identifiés et ainsi améliorer votre esthétique dentaire.
Conseils personnalisés
Tout au long du processus, notre équipe veille à vous fournir des conseils personnalisés pour vous aider à maintenir une bonne santé bucco-dentaire à long terme.
Tous nos soins en esthétique dentaire
Notre clinique spécialisée en esthétique dentaire est fière d’offrir une gamme variée de services dentaires pour vous aider à obtenir un sourire en santé et éclatant. Nous croyons que la beauté d’un sourire commence par une bonne santé dentaire. Voilà pourquoi nous sommes dédiés à vous fournir des soins de haute qualité. En même temps, nous vous offrons une expérience agréable et personnalisée. Enfin, cela vous aide à retrouver un sourire radieux et en santé.
Nettoyage, polissage, détartrage
Nous offrons un nettoyage en profondeur pour éliminer la plaque dentaire, suivi d’un polissage pour enlever les taches, et d’un détartrage pour prévenir les caries et les maladies des gencives.
Blanchiment des dents
Nous utilisons une technique sûre et efficace pour rendre vos dents plus blanches et plus lumineuses en éliminant les taches causées par le vieillissement ou le café, le thé, le vin et d’autres habitudes alimentaires.
Restauration invisible
À l’aide de la technologie CEREC 3D, nous restaurons vos dents endommagées de manière discrète et naturelle. Nous fabriquons des couronnes ou incrustations en céramique de haute qualité et biocompatibles, qui s’intègrent parfaitement à votre dentition.
Couronne, facette, pont et traitement de canal
Nous proposons une vaste gamme de solutions pour réparer et protéger vos dents endommagées ou manquantes. Nous vous aiderons à choisir la meilleure option pour vos besoins spécifiques.
Traitement des maladies de gencives (parodontie)
Nous offrons des traitements spécialisés pour soigner les maladies de gencives telles que la gingivite et la parodontite, et vous aidons à prévenir des problèmes plus graves.
Chirurgie buccodentaire et extraction
Nous réalisons des interventions chirurgicales pour traiter les problèmes dentaires complexes, y compris les extractions de dents de sagesse, les greffes de gencives et plus encore.
Orthodontie invisible (Invisalign)
Avec les gouttières transparentes et amovibles Invisalign, nous redressons vos dents de manière discrète et confortable.
Le design de sourire digital (DSD)
Le Digital Smile Design est une technologie dentaire innovante. Elle nous permet de créer des sourires personnalisés. Cette technique utilise des outils numériques de pointe pour concevoir un sourire qui convient parfaitement à la morphologie faciale. Elle s’adapte aux caractéristiques dentaires et aux préférences esthétiques de chaque patient.
Le processus commence par la prise de photos, de vidéos et de mesures précises de la bouche et du visage du patient. Ces données sont ensuite importées dans un logiciel de modélisation 3D. Il nous permet de concevoir un nouveau sourire en utilisant une bibliothèque de formes et de couleurs de dents.
Le patient peut alors visualiser son futur sourire en 3D. Il peut donc participer activement à la conception en apportant ses commentaires et ses ajustements. Cette phase de consultation permet au patient de se projeter dans l’avenir. Le patient s’assure que le résultat final répondra à ses attentes.


Les avantages du Digital Smile Design : pour créer votre futur sourire
Le Digital Smile Design est un service innovant et personnalisé. Il offre aux patients une expérience unique et sur mesure en matière d’esthétique dentaire. En travaillant avec Dre Nathalie Vachon, les patients peuvent bénéficier des dernières technologies numériques pour obtenir un sourire parfait et personnalisé, qui répondra à leurs attentes et améliorera leur confiance en eux.
Visualisation du sourire avant les traitements
Cela permet de réduire l’incertitude et l’anxiété associées aux traitements dentaires esthétiques, tout en offrant la possibilité de procéder à des ajustements et des modifications avant la mise en place des traitements.
Précision du résultat final
En utilisant des outils numériques, nous sommes en mesure de créer un sourire parfaitement adapté à votre morphologie faciale, qui sera en harmonie avec les traits du visage et les caractéristiques dentaires existantes.
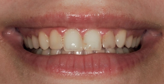
Visualisez quelques résultats de traitements dentaires esthétiques


Premier exemple : Conception d’un nouveau sourire à l’aide de la technologie Digital Smile Design (DSD)


Deuxième exemple : Conception d’un nouveau sourire à l’aide de la technologie Digital Smile Design (DSD)



