Une technique simple, efficace et rapide.
- Couverture protectrice de vos lèvres et de vos gencives.
- Nous appliquons le gel blanchissant ZOOM ADVANCE.
- Nous dirigeons le faisceau lumineux de la lampe ZOOM directement sur le gel.
- La lampe et le gel agissent de concert pour pénétrer vos dents. Les taches et les décolorations dues au vieillissement naturel disparaissent. Aussi, cela fait disparaître les taches dues à la consommation régulière de café, thé, liqueur brune, vin rouge et tabac.
Comment fonctionne la méthode ZOOM ADVANCE ?
Le gel à base de peroxyde d’hydrogène aux fortes propriétés oxydantes s’active par la lumière diffusée par la lampe ZOOM ADVANCE. En effet, la réaction de l’hydrogenperoxide crée de l’oxygène dans l’émail et la dentine. Ceci blanchit les matières colorantes déposées sur vos dents.
Est-ce un traitement durable ?
Avec un entretien régulier, vos dents devraient conserver leur teinte. Brossez vos dents deux fois par jour, utilisez la soie dentaire et investissez dans un nettoyage professionnel tous les six mois pour vous assurer un résultat durable. En effet, vous pouvez toujours compter sur des traitements de rafraichissement pour vous aider à maintenir la blancheur optimale de vos dents.
Est-ce un traitement pour moi ?
La méthode ZOOM ADVANCE convient à la grande majorité. Toutefois, chacun d’entre nous a des dents d’une couleur et d’une résistance particulière. Par contre, certains antibiotiques et fluors peuvent causer des changements importants à la teinte de vos dents. Appelez-nous pour une consultation. Ensuite, suite à un examen approfondi, Dre Vachon sera en mesure de vous confirmer si ce type de traitement vous convient. ZOOM ADVANCE ne convient pas aux enfants de moins de 13 ans ni aux femmes enceintes ou qui allaitent.

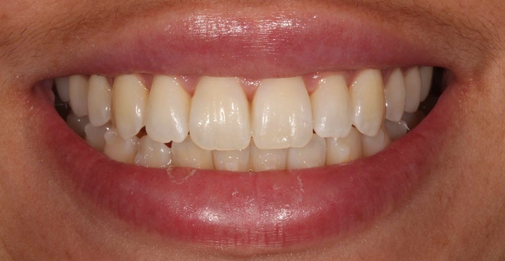
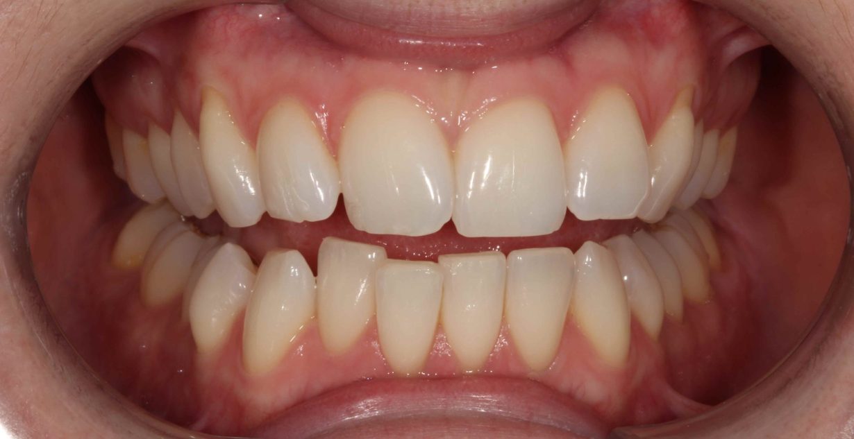
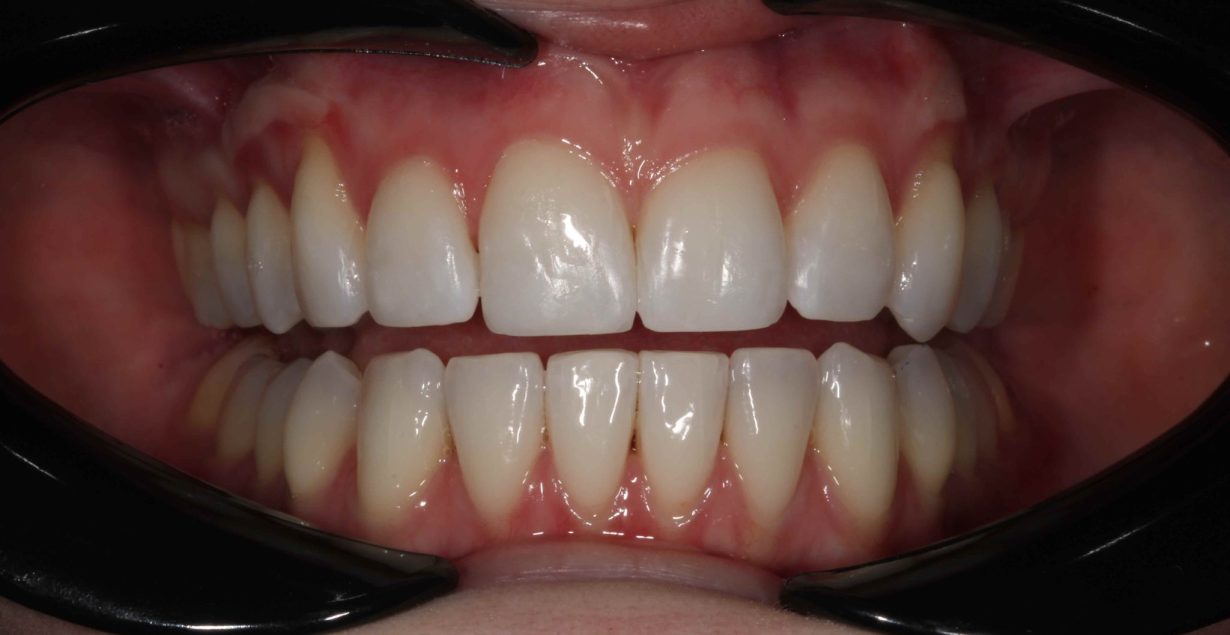
Visualisez quelques résultats de traitements dentaires esthétiques


Blanchiment



